児玉歯科

デジタルレントゲンDigital X-ray

レントゲン

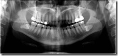
パノラマデジタルレントゲン

歯科用CT
歯・顎関節の撮影には、デジタルパノラマレントゲン装置を使用しています。
様々な病態を把握し口腔内全体の正確な診断を可能にします。従来のフィルム撮影に比べX線の照射線量が軽減できレントゲン被爆も減少します。
デンタルX線装置では口の中にイメージングプレート(薄いフィルム状)にて撮影します。照射線量はフィルム撮影に比べ1/10以下でスーパーハイスピード撮影ができます。
デジタルX線撮影後は、速やかに画像がモニターに転送され現像の待ち時間がなく、また、画像も鮮明ですので分かりやすくご説明ができます。

標準パノラマ撮影

標準的なパノラマ画像です。顎の形状とサイズの組み合わせによって9つのパノラマ軌道が得られます。 水平・垂直方向の拡大率1.2倍の均等な画像が得られます。
また、画像管理ソフト上で、精度の高い寸法の計測が可能です。
照射範囲を狭くする事で、患者さんの被曝線量を約35%低減いたします。 お子さんのX線撮影を気にされる方も安心して撮影できます。

最新の歯科用CTを導入

PLANMECA ProMAX 2D 3D,プロマックス,3D,パノラマ,セファロアーム型X線CT診断装置
最新の歯科用CT 「PLANMECA ProMax 2D/3D」を導入しました。 高精密な3D画像を活用することで、安全・確実で高度な歯科治療をご提供できます。当院で導入している歯科用デジタルレントゲンCTは、患者さまの健康のため、診査診断に必要な被爆量が少なく、 一般医療用CT撮影の1/50~1/1010分の1程度まで被爆量を軽減することができます。 また、当院で導入している歯科用デジタルレントゲンCTは、従来のX線写真と違い立体的にお口の中の状態を把握することができ、今までは見えないものが見える、わからなかった部分がわかるようになり、「安全・確実・安心」の治療に結びつきます。実はCT撮影で最も重要なのは、機種そのものではなく、撮影した画像を画面表示するコンピュータソフトウェアです。当院で導入したCTは、口腔内の状態の縦・横・正面の3方向だけでなく、斜めからのスライス断面まで、さまざまな表現で表示することができるロメキシス3Dイメージングソフトウェアを搭載しています。画像再構成の精度も高く、実際の顎に限りなく近い立体画像を表示することができますので、より診断価値の高い3D画像を得られ、正確で歪みのない3D画像を得ることが可能ですので、治療の再に正確な診断が行えます。