ホワイトニング・審美歯科について
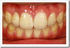
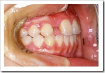
審美歯科とは、より白く、よりきれいな歯並びにと、審美性の回復を目的とし、併せて虫歯や抜けた歯の治療等で機能回復も行う治療です。
当院では、ホワイトニング・ラミネートベニア・メタルボンド・オールセラミッククラウン等最新の技術を駆使し、歯を白くする治療に歯並び・噛み合せの改善といった治療を組み合わせて行います。具体的な治療方法は患者さまのお口の状態により異なり、事前に出来るだけわかりやすくご説明させていただきながら、納得・安心してお受けいただいております。
歯の美しさは、人の第一印象を決める重要な部分です。性別・年齢に関係なく、誰もがきれいな歯並び、白い歯にあこがれます。アンチエイジングが話題の昨今では、いつまでも若々しく自分の歯で噛みたいと思われる方は、大勢いらっしゃいます。
あなたも、審美歯科治療により、口元に自信を取り戻してみませんか。白く輝く口元をあなたにご提供します。


